Sacro Iliite Stade 4

Sacro Iliite Stade 4. Spondylarthrite ankylosante / SpA / pelvispondylite rhumatismale / spondylarthropathie L'atteinte sacro-iliaque radiologique, la sacro-iliite stade 2 bilatérale ou stade 3, est indispensable pour porter le diagnostic de spondylarthrite ankylosante, selon les critères de classification de New York modifiés (tableau 19.4) 1 Radiographies des articulations sacro-iliaques au cours d'une spondyloarthrite

L
L'articulation sacroiliaque YouTube from www.youtube.com

Celle ci évolue en plusieurs stades: absence d'anomalie spécifique au stade I pseudo-élargissement de l'interligne et flou des berges au stade II érosions et ostéosclérose des berges au stade III et ankylose totale au stade IV. Enthésopathies inflammatoires fréquentes Sacro-iliite bilatérale le plus souvent, pas forcément symétrique, prédominant initialement sur le versant iliaque Atteinte rachidienne : - mise au carré des vertèbres - érosions (C1-C2, épineuses, angles vertébraux supérieurs et inférieurs, pseudo-spondylodiscite) - entésophytes évoluant vers une ossification sous-ligamentaire et une.

L'articulation sacroiliaque YouTube

L'atteinte sacro-iliaque radiologique, la sacro-iliite stade 2 bilatérale ou stade 3, est indispensable pour porter le diagnostic de spondylarthrite ankylosante, selon les critères de classification de New York modifiés (tableau 19.4) L' inflammation de l'articulation sacro-iliaque, souvent appelée sacro-iliite, est une affection douloureuse qui affecte l'articulation située entre le sacrum et l'os iliaque du bassin Stade 3 : sacro-iliite modérée (sclérose nette des deux cotés, aspect flou et indistinct des bords, érosions, perte de l'espace articulaire) Stade 4 : fusion complète ou ankylose des sacro-iliaques.

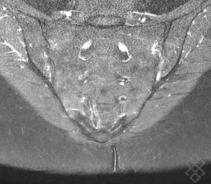
Coupe axiale des sacroiliaques montrant une sacroiliite bilatérale.... Download Scientific. On peut voir, tardivement des érosions des bords de l'articulation (aspect irrégulier) qui évoluent vers la disparition de l'articulation. Certains signes permettent de faire la différence entre les deux affections

Sacroiliite droite. Sclérose souschondrale (bande hypointense). IRM,... Download Scientific. Celle ci évolue en plusieurs stades: absence d'anomalie spécifique au stade I pseudo-élargissement de l'interligne et flou des berges au stade II érosions et ostéosclérose des berges au stade III et ankylose totale au stade IV. Enthésopathies inflammatoires fréquentes Sacro-iliite bilatérale le plus souvent, pas forcément symétrique, prédominant initialement sur le versant iliaque Atteinte rachidienne : - mise au carré des vertèbres - érosions (C1-C2, épineuses, angles vertébraux supérieurs et inférieurs, pseudo-spondylodiscite) - entésophytes évoluant vers une ossification sous-ligamentaire et une.